Frémont et al.: Allergenicity of Vegetable Oils
Internet Symposium on Food Allergens 4(2): -  (2002) [http://www.food-allergens.de]

INTRODUCTION

Soy oil is the vegetable oil consumed in the largest amounts worldwide (29%). In France, sunflower (40%) and oil-seed rape (26%) oils are the ones most commonly used, those of soy and peanut oils each corresponding to less than 5% of total consumption (Proléa-Documentation 1998, ONIDOL, Paris, France) (Table 1).
Vegetable oils are produced from the corresponding seeds after mechanical processing: shelling, flaking, in some cases cooking, pressing and possibly hexane-extraction. The crude oil that is obtained after these steps contains high levels of triglycerides, but also contains partial glycerides, free fatty acids, phospholipids, coloring agents, free sugars, glycolipids, waxes, metals, water …. and may also contain traces of proteins. Some toxic substances such as gossypol, a brown polyphenolic compound of cotton oil, may be naturally present in certain oils. Moreover organophosphorus or organochloride pesticides, liposoluble substances often present on the top of the seeds, can be found in vegetable oils.

Table 1: Consumption of vegetable oils in France and throughout the world (ONIDOL 1998)
 
Oil World France
Soybean 29% 5%
Palm 21% 9%
Oil-seed rape 15% 26%
Sunflower seed 11%  40%
Cotton seed 5% -
Peanut 5% 4%
Sesame seed 0.7% ?

The purpose of refining is to produce a product that is neutral in flavor, attractive in appearance and devoid of unwanted substances. Each of the steps in the chemical refining process is carried out under specific conditions defined by each manufacturer. Briefly, demucilagination corresponds to the treatment of the oil by phosphoric acid, to allow the elimination of phospholipids, glycolipids and gum. This step is followed by neutralisation using sodium hydroxide, to eliminate free fatty acids. Washing steps using water clear oil of vegetable wax, residual phospholipids and soap. After drying, the bleaching step conducted by adsorption on bleaching clay eliminates mainly pigments that have been partially destroyed by neutralization. At a low temperature, vegetable waxes are insolubles. It is possible to eliminate them by filtration or centrifugation. The last step is to get rid of odors and peroxides at a very high temperature under vacuum. An example of the refining process of sunflower oil is given in Table 2.

Table 2: Description of the steps of refining process of sunflower oil (from Zitouni et al. 2000)
 
Step Oil obtained Treatment used Temperature applied Time Removed components
0-Expeller and chemical extraction

 

Crude oil (A)        
1-Acidic and neutral treatment Neutralized oil (B) H3PO4 / NaOH 85 °C 15 min phospholipids, free fatty acids, metals, pigments, products from oxidation, some contaminants
2-Pregumming by centrifugation Pre-gummed oil (C) Soap and water 10 °C 4 h Plant wax
3-Washings Washed oil (D) Water 85°C few minutes Soap, phospholipids
4-Bleaching Bleached oil (E) Filters 85 20 min Pigments, residues of soap, phospholipids, metals, products from oxidation
5-Gumming by filtration Gummed oil (F) Filters 10 °C 5 h Plant wax
6-Deodorization Refined oil (G) Water steam 220°C-4 min under vacuum 2h30min Peroxides, odors, some contaminants

SPECIFIC VEGETABLE OILS
 

An overview of the studies conducted on peanut, sunflower, soy and sesame oil is given in Table 3.

Table 3: Overview of the studies conducted on peanut, sunflower, soy and sesame oil
 
Seeds Oil Type Proteins   Allergenicity   References
    Concentration
(µg/mL of oil)
Molecular Mass
(kDa)
In vitro In vivo  
Peanut Refined no protein       Tattrie et al. 1973
Peanut Unspecified       Negative skin tests, negative DBPCFC (0/10) Taylor et al. 1981
Peanut Unspecified       Positive oral provocation test (2/2) Moneret-Vautrin et al. 1991
Peanut Cold-pressed     Hot-pressed 0.2-3.3 in some cold-pressed oil   Dot blots : positive for some cold-pressed oil, negative for hot-pressed oils (pooled sera)   Hoffman et al. 1994
Peanut Virgin peanut oil       Positive skin-prick tests (1/1), labial challenge (2/2) and SBOC (4/4) Moneret-Vautrin et al. 1994
Peanut Crude and refined peanut oil       Negative DBPCFC with refined oil, positive with crude oil (10/60) Hourihane et al. 1997
Peanut a) Unrefined
b) Refined, bleached and deodorized
a) 10.5-10.7 
b) 3.0-5.7 
  Slot Blot : strong IgE binding for unrefined oils, low or no IgE binding for refined oils, Western-Blot: same binding pattern for peanut extract and unrifined peanut oil extract   Teuber et al. 1997
Peanut a) Crude 
b) Neutralized
c) Refined
a) 3.4 µg/g
b) 0.2 µg/g
c) 0.1-0.2 µg/g
14-76 LHR positive with the protein extract (9/11) Western-Blot revealed a 18 kDa protein Positive DBPCFC (4/11)
Skin-prick tests negative with refined peanut oil, positive with protein extract from crude and refined oil (5/7)
Olszewski et al. 1998
Peanut a) Peanut oil extract 
b) Peanut oil proteinic extract
      a) Positive DBPCFC (14/62)
b) Positive skin-prick tests (9/10)
Moneret-Vautrin et al. 1998
Sunflower Cold-pressed and refined 2 to 8     Negative SPT (2/2), Negative DBPCFC (2/2) Halsey et al. 1986
Sunflower Refined 0.85       Klurfeld et al. 1987
Sunflower Unspecified       Positive scratchs test (1/1) Frazier et al. 1995
Sunflower a) Crude
b) Neutralised
c) Pregummed
d) Washed
e) Bleached
f) Gummed
g) Refined
a) 13.6
b) 11.5
c) 11.3
d) 2.7
e) 1.6
f) 1.4
g) 0.22
a) 67-145
b) 67-145
c) 67-132
d) 67-132
e) 67-132
f) 67
g) 67
67 kDa (Western-Blot) Positive SPT (1/1)
Positive DBPCFC (1/1)
Zitouni et al. 2000
Soybean Refined no protein       Tattrie et al. 1973
Soybean Refined and cold pressed     Non allergenic proteins Negative DBPCFC (7/7) Bush et al. 1985
Soybean Unspecified 110-3300       Porras et al. 1985
Soybean a) Crude
b) Refined
a) 1.9
b) 0.72
      Klurfeld et al. 1987
Soybean Oxidized soy oil     Positive ELISA Protein interacted with oxidized soy oil allergenic to soybean-sensitive patients Doke et al. 1989
Soybean Soy oil emulsion (parenteral nutrition)       Anaphylactic shock  (1/1) Andersen et al. 1993
Soybean Refined 0.01-0.04 58-67 Non allergenic proteins   Awazuhara et al. 1998
Soybean a) Unrefined
b) Refined
a) 0.09-0.14
b) 0.035
a) 14-94
b) 14-94
a) 53, 57 kDa
Positive EAST inhibition
b) Non allergenic proteins
  Paschke et al. 2001
Soybean a) Crude
b) Deodorized
a) 1.8
b) 0.3
a) 14-150
b) 14-150
56-57 kDa
Positive RAST
  Errahali et al. 2002
Soybean Soy oil emulsion       Positive patch test (1/1) and positive oral challenge (1/1) Moneret-Vautrin et al. 2002
Sesame Unspecified     Positive RAST, positive BHR (1/1) Positive skin-prick test (1/1) Chiu et al. 1988
Sesame Unspecified     LHR positive in 1/3 case Positive oral provocation test (1/2) Positive labial provocation test (2/2)  Kanny et al. 1996
LHR leucocyte histamine release, BHR basophile histamine release, SBOC single blind oral challenge

 
Peanut oil
 
The high incidence of peanut allergy has led to investigations of peanut oil (Moneret-Vautrin 1998). In 1981 and 1997, Taylor et al. and Hourihane et al. respectively concluded that refined peanut oil was not allergenic to peanut-sensitive individuals, but in 1991 the team of Moneret-Vautrin reported two cases of allergy to peanut oil in infants fed with milk formulas. Immunochemical studies have identified allergens in cold-pressed crude oils (Hoffman & Collins-Williams 1994), in oils that have been refined at temperatures between 50 and 150°C (14 to 80 kDa) (Teuber et al. 1997), and in one oil processed at high temperature (18 kDa) (Olszewski et al. 1998).
 
Sunflower oil
 
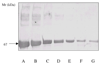
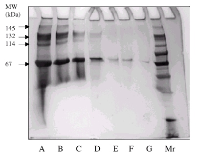
There have been numerous studies of sunflower seeds. Noyes et al. (1979), Halsey et al. (1986), Iwaya et al. (1994) and Axelsson et al. (1994) have reported reactions such as generalized urticaria, dyspnea and anaphylactic shock after consumption of sunflower seed. Klurfeld & Kritchevsky (1987) and Halsey et al. (1986) extracted proteins from refined oil and virgin cold-pressed oil, and concluded that these oils were entirely safe. In 1994, Kanny et al. reported two episodes of anaphylactic shock in a female patient, occurring at an interval of two months, after she had eaten a meal containing sunflower oil and margarine. Skin tests and a positive oral challenge test with 5 ml of sunflower oil, demonstrated that the anaphylactic shock had been induced by sunflower oil. Our team identified proteins both in the crude oil (13.6 µg/mL) and after it had been refined by heat treatment (0.22 µg/mL) (Figure 1). One of these proteins (67 kDa) found in the refined oil was recognized by the serum IgE of the patient allergic to the oil (Figure 2) (Zitouni et al. 2000).
 
 
 
Figure 1: SDS-PAGE of protein extracts from samples of sunflower oil taken at different steps during refining (from Zitouni et al. 2000) A: Crude oil , B: Acidification and neutralisation, C: Pregumming, D: Washing, E: Bleaching, F: Gumming, G: Deodorizing

 
Figure 2: Western blot of protein extracts from samples of sunflower oil taken at different steps during refining, using a serum from a female patient allergic to sunflower oil (from Zitouni et al. 2000) A: Crude oil , B: Acidification and neutralisation, C: Pregumming, D: Washing, E: Bleaching, F: Gumming, G: Deodorizing

Soybean Oil

 
Soybean allergy is considered as one of the five most common causes of food allergy among children. The prevalence of soybean allergy has been estimated at 1% among adults. Allergy to soy oil is therefore a crucial matter which demands investigation (Paschke et al. 2001).
In 1985, Bush et al. concluded that refined soy oil was not allergenic. Indeed the authors enrolled seven soybean-sensitive patients in a double-blind crossover study and no reactions were observed with the commercially available soybean oils. However, Awazuhara et al. (1998) demonstrated the presence of proteins in soy oil, and the presence of allergens in soy lecithin by in vitro methods (SDS-PAGE and immunoblotting of soy oil proteins performed with the sera from 15 soybean-sensitive patients). Our team’s study of soy lecithins and egg lecithins confirmed the allergenicity of the proteins in these lecithins (Palm et al. 1999). In the case of soy lecithin, one patient had a negative prick test to soy lecithin and a positive double blind placebo controlled oral challenge at 100 mg of soy lecithin. Paschke et al. (2001) identified allergens in the unrefined oil, but not in the refined oil. More recently, our team has shown that the IgEs of the serum of patients allergic to soybeans specifically recognized 28 and 56 kDa proteins extracted from deodorized oil (Errahali et al. 2002).
 
 
Sesame Seed Oil


Sesame seed has been subjected to many clinical studies, but there has still been little attempt to characterize the allergens. From 1978 to 1991, Kägi & Wüthrich (1993) found only nine cases of allergy to sesame seed. However, the discovery in 1996 of 6 cases of allergy to seed and/or sesame oil underlines the growing risk of sesame consumption (Kanny et al. 1996).
Chiu & Haydik (1991) report one case of anaphylactic shock to sesame oil. Kanny et al. (1996) found that the histamine release assays were positive in 1/3 cases with sesame oil, the labial provocation test was positive in 2/2 and the oral provocation test was positive in 1/2 at a dose of 3 mL.
It should be noted first that sesame oil is supplied in unrefined form, and second that sesame oil is often a masked allergen, frequently labeled “vegetable oil” in a wide variety of products like margarine.
 

CONCLUSIONS

Food allergies to peanuts, sunflower, soybean and sesame seeds have been well established, although allergies to the oils of these seeds remain controversial. Various factors may account for this controversy:

REFERENCES [Summary] [Abbreviations]
 copyright © 2002 by matthias besler - ONLINE PUBLISHER
home: www.food-allergens.de